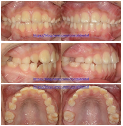
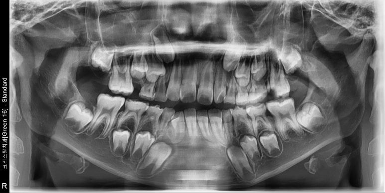
#15의 맹출 공간이 부족하여 내원한 9세 남아 입니다. 빠르게 1차교정을 마무리 했습니다.
1차교정은 6-9개월 안에 cc만 해결하고 가급적 빨리 마무리하는 것이 최선입니다.
어치피 나머지 영구치가 맹출하고 나면 또 삐뚠 치아들이 나타나는 경우가 대부분이라
5-6학년 때 2차교정이 필요한 경우가 대부분입니다. 그래서 1차라는 표현이 들어가 있는 것이죠^^
1차교정이 길어지면 아이도 지치고, 특히 부모도 지치게 되는데 나중에 또 2차교정을 하려고 하면
진짜 본 게임에서 모두 지쳐서 진행이 쉽지 않아지기 때문입니다.








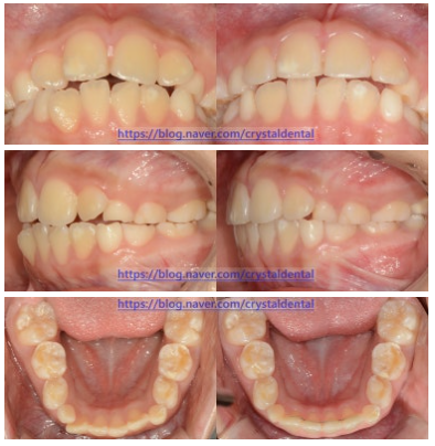
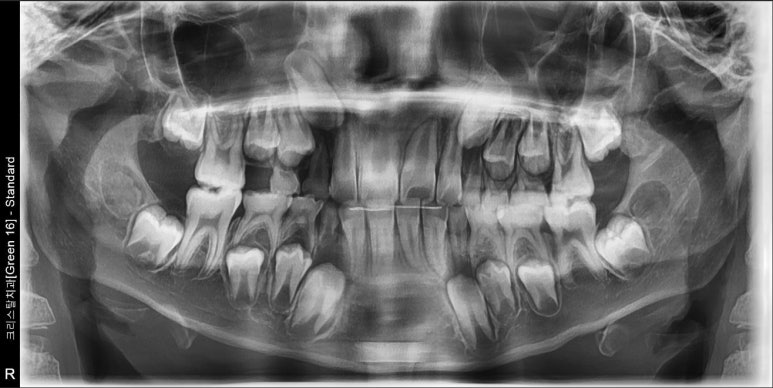
#15의 맹출 공간이 부족하여 내원한 9세 남아 입니다. 빠르게 1차교정을 마무리 했습니다.
1차교정은 6-9개월 안에 cc만 해결하고 가급적 빨리 마무리하는 것이 최선입니다.
어치피 나머지 영구치가 맹출하고 나면 또 삐뚠 치아들이 나타나는 경우가 대부분이라
5-6학년 때 2차교정이 필요한 경우가 대부분입니다. 그래서 1차라는 표현이 들어가 있는 것이죠^^
1차교정이 길어지면 아이도 지치고, 특히 부모도 지치게 되는데 나중에 또 2차교정을 하려고 하면
진짜 본 게임에서 모두 지쳐서 진행이 쉽지 않아지기 때문입니다.