서울대학교치과병원 지정 협력 병원
크리스탈치과
Treatments
Before/After
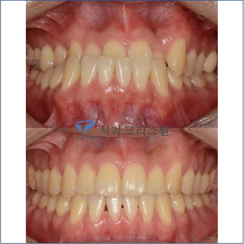
30세 남성 3급 부정교합 (Class III), 반대교합 증례입니다.
비발치, 비수술로 약2년여 기간의 교정😬만으로 멋지게 치료된 케이스입니다.
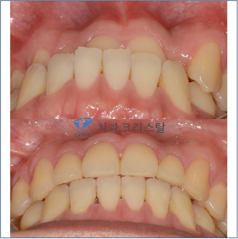
30세 남성 3급 부정교합 (Class III), 반대교합 증례입니다.
비발치, 비수술로 약2년여 기간의 교정😬만으로 멋지게 치료된 케이스입니다.